Estudios de diagnóstico por imagen,

dinámicos y metabólicos de Medicina Nuclear.

Estudios de diagnóstico por imagen, dinámicos y metabólicos de Medicina Nuclear.

Estudios de diagnóstico por imagen, dinámicos y metabólicos de Medicina Nuclear.

PET CT – Tomografía por Emisión de Positrones de Cuerpo Completo en Oncología

En el campo de la tomografía por emisión de positrones, Scantibodies ofrece estudios oncológicos para diagnóstico de cáncer. Gracias a esta tecnología, somos capaces de realizar exploraciones de cuerpo completo en aproximadamente 20 minutos, detectando lesiones pequeñas.

La tomografía por emisión de positrones, también conocida como PET scan ó tomografía PET, es una técnica de imagenología médica que utiliza una sustancia radiactiva para obtener imágenes detalladas del metabolismo y de la función de los tejidos internos del cuerpo. Es especialmente útil en el diagnóstico y la estadificación del cáncer, ya que permite localizar y evaluar la actividad metabólica de las células cancerosas.

Nuestro personal médico busca ofrecer un servicio de atención de calidad para la comodidad y bienestar del paciente. En conjunto a esto, y gracias a la rapidez de nuestras exploraciones con la tomografía PET, Scantibodies ha podido contribuir a la optimización de tiempo de diagnóstico en algunos casos de pacientes con cáncer, lo cual es fundamental en el abordaje de enfermedades tan delicadas como esta.

Tener la posibilidad de identificar tumores en etapas tempranas con la tomografía PET es crucial, ya que en algunos casos la detección temprana del cáncer puede marcar la diferencia en el pronóstico y la supervivencia del paciente.

PET CEREBRAL – Tomografía por Emisión de Positrones Cerebral

En Scantibodies, la tomografía por emisión de positrones (PET, por sus siglas en inglés) también ofrece la capacidad de realizar estudios PET CEREBRAL, y proporcionar valiosa información de apoyo a los especialistas en Neurología, Neurocirugía, Geriatría y Psiquiatría.

Esta técnica de imagen médica permite visualizar y analizar el funcionamiento y metabolismo del cerebro, lo que resulta fundamental para el diagnóstico y tratamiento de diversas enfermedades neurológicas,  enfermedades propias del paciente geriátrico, y del paciente en valoración psiquiátrica cuando está indicado.

Gracias al PET CEREBRAL, se puede obtener información detallada sobre la actividad metabólica de las diferentes áreas cerebrales, y en fusión con la resonancia magnética la localización precisa de lesiones en el cerebro, abriendo la oportunidad de evaluar y monitorear la respuesta de los tejidos cerebrales a diferentes tratamientos.

A nivel mundial grandes estudios se han realizado sobre la importancia del PET CEREBRAL en el diagnóstico, evaluación y monitoreo de enfermedades neurodegenerativas como Alzheimer o Parkinson,  estudios sobre la utilidad de las imágenes funcionales del PET CEREBRAL en el Trastorno Obsesivo Compulsivo (TOC), o en el diagnóstico y diferenciación de diferentes tipos de demencia versus Alzheimer, por mencionar algunas de sus aplicaciones en estos campos de estudio.

La utilidad de la tecnología combinada del PET CEREBRAL con la resonancia magnética, permite identificar áreas cerebrales comprometidas por lesiones, determinar la extensión de la afectación, o evaluar la resección tumoral previa cuando es indicado.

Proceso para estudio PET CT - Tomografía por Emisión de Positrones de Cuerpo Completo en Oncología

La tomografía PET detecta en dónde se ha acumulado el FDG en el cuerpo. Por lo tanto, el estudio detecta la ubicación del cáncer metastásico.

• El cáncer metastásico está formado de células hipermetabólicas.

• Las células hipermetabólicas usan más azúcar (glucosa) que las células normales.

• La glucosa radioactiva (FDG) es inyectada de forma intravenosa.

• Durante el periodo de relajación, el FDG se acumula en las células hipermetabólicas.

• La mesa mueve al paciente a través del escáner TC (5 min).

• La mesa mueve al paciente a través del detector de FDG (15 min).

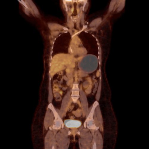
Ejemplos de imágenes del PET-CT mostrando ubicaciones de los órganos y FDG acumulado.

Conoce el proceso de agenda para el estudio de tomografía PET CT de Cuerpo Completo:

Proceso para estudio PET CEREBRAL – Tomografía por Emisión de Positrones Cerebral

La tomografía PET CEREBRAL detecta la distribución del FDG en el cerebro, localizando las áreas de disminución ó aumento de la actividad metabólica cerebral de manera precisa y confiable.

• El metabolismo cerebral consume el 25% del total de la glucosa que consume el cuerpo. El FDG ó glucosa radioactiva, permite detectar las áreas del metabolismo normal ó anormal en el cerebro.

• La glucosa radioactiva (FDG) es inyectada de forma intravenosa.

• Durante el periodo de relajación el FDG se distribuye en las células cerebrales.

• La mesa mueve al paciente a través del escáner TC (2 min).

• La mesa mueve al paciente a través del detector de FDG (aproximadamente 10 min).

Ejemplos de imágenes de tomografía PET CEREBRAL mostrando metabolismo cerebral.

Conoce el proceso de agenda para el estudio de tomografía PET CEREBRAL:

Scantibodies Imagenología y Terapia

Calle Los Viñedos #4000-E
Parque Industrial El Bajío,
Tecate, B.C. México C.P. 21430
(665) 655-5169
©2025
Translate »